Docteur Aurélie Delfosse
Chirurgien-dentiste à Laon (02000)
74 Rue Arsène Houssaye, 02000 Laon
 
Disponible aujourd'hui de 8h20 à 12h45 et de 13h45 à 18h
 
03 23 20 42 14
Docteur Aurélie Delfosse
Chirurgien-dentiste à Laon (02000)

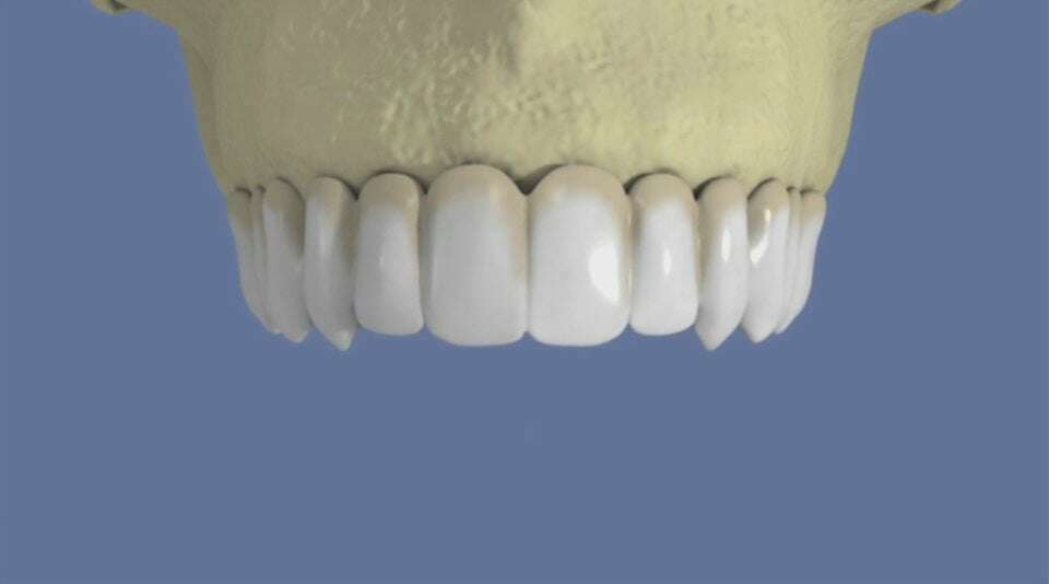
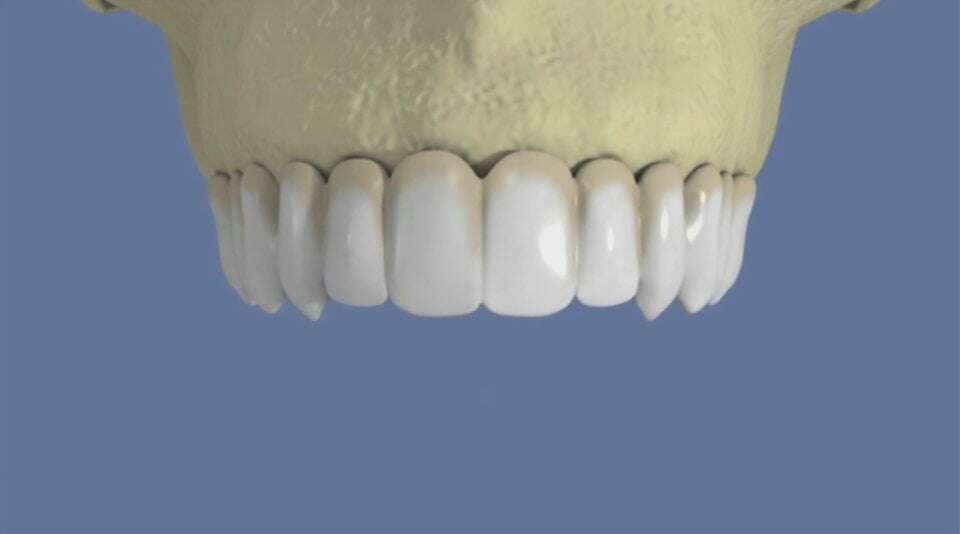
Maxillaire : bridge vissé sans fausse gencive


video-play-icon

Articles similaires

Création par Webdentiste

Connexion