Docteur Aurélie Delfosse
Chirurgien-dentiste à Laon (02000)
74 Rue Arsène Houssaye, 02000 Laon
 
Disponible aujourd'hui de 8h20 à 12h45 et de 13h45 à 18h
 
03 23 20 42 14
Docteur Aurélie Delfosse
Chirurgien-dentiste à Laon (02000)

Les prothèses

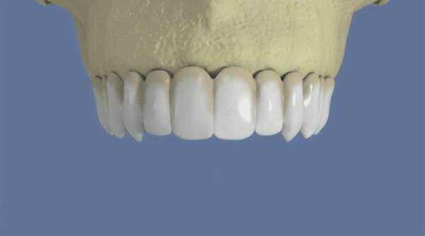
Maxillaire : bridge vissé sans fausse gencive

Maxillaire : bridge vissé sans fausse gencive

Maxillaire all-on-6 et comblement de sinus

Maxillaire all-on-6 et comblement de sinus

Maxillaire : all-on-4

Maxillaire : all-on-4

Comblement de sinus par voie latérale et implantation simultanée

Comblement de sinus par voie latérale et implantation simultanée

Mandibule complète et traitement implantaire pour un bridge fixe vissé

Mandibule complète et traitement implantaire pour un bridge fixe vissé

Mandibule : all-on-4

Mandibule : all-on-4

Affichage des articles 1-6 sur 37

Création par Webdentiste

Connexion